L’arthrose interne du genou est favorisée par une anomalie de l’axe du membre inférieur (genu varum, comme «Lucky Luke»). Quand il existe un défaut d’axe, les contraintes sont mal réparties et le poids du corps s’applique plus sur le côté interne, en accélérant l’usure.
Inversement, des genoux en X (genu valgum) favorisent l’usure du compartiment externe du genou. Lorsque l’arthrose n’est pas encore trop sévère, on peut proposer de ralentir voire d’arrêter son évolution en redressant l’axe osseux du genou. Le diagnostic d’arthrose est confirmé par l’examen clinique, les radiographies, l’IRM et parfois l’arthroscanner.
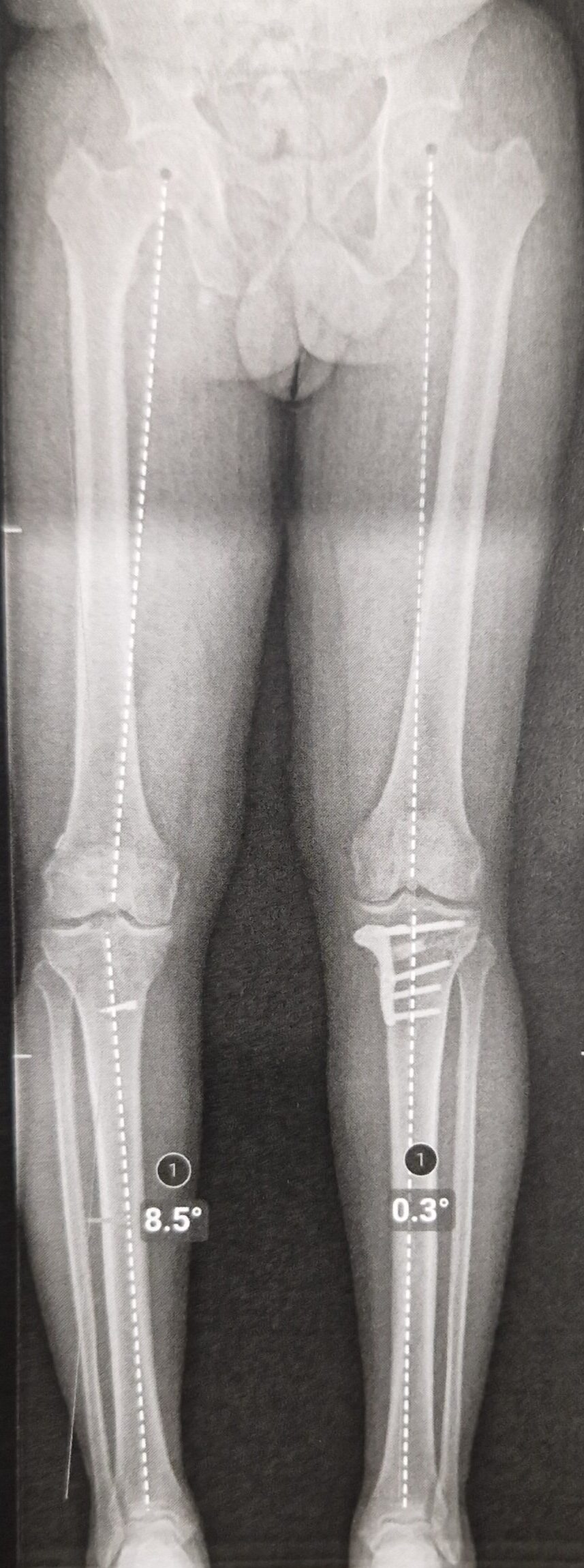
L’axe mécanique du membre est mesuré pour déterminer l’angle exact de correction nécessaire.
L'INTERVENTION :
L’intervention est réalisée sous anesthésie générale ou rachianesthésie, selon vos préférences et surtout selon vos antécédents médicaux.
La cicatrice est verticale et fait 8 cm en moyenne. Une entaille partielle est réalisée dans l’os (ostéotomie). Un instrument permet d’écarter doucement les berges osseuses de quelques millimètres, à la manière d’un cric, selon la correction planifiée (8 à 12mm au maximum).
Une cale faite de greffe osseuse est interposée dans l’espace créé, et une plaque vissée en titane épousant la forme anatomique de l’os est utilisée pour fixer la correction.
LES SUITES POST-OPERATOIRES :
L’intervention est en général réalisée en ambulatoire. Un kinésithérapeute passe vous voir avant la sortie pour vous mettre debout et vous donner des conseils pratiques pour le béquillage. L’appui sur le membre opéré est interdit pendant 6 semaines, le temps de consolidation de l’ostéotomie.
Pendant ce temps, vous pourrez vous déplacer avec les béquilles, et il faudra faire des séances régulières (chez un kiné et chez vous) de mobilisation du genou en flexion/extension, pour conserver la souplesse articulaire et éviter la fonte musculaire. Il n’y a pas besoin d’attelle en général.
Un traitement anticoagulant vous est prescrit pendant 6 semaines également.
La consolidation de l’ostéotomie est surveillée en consultation avec des radiographies régulières. La conduite automobile est possible dès la reprise de l’appui complet.
LES RÉSULTATS ATTENDUS :
Il faut comprendre très clairement qu’une ostéotomie du genou ne répare pas l’arthrose qui existe déjà dans votre genou.
Son but est de modifier un facteur prédisposant à l’arthrose, à savoir le mauvais alignement anatomique, afin de préserver ce qui vous reste comme cartilage sain.
Il s’agit d’un geste osseux extra-articulaire, c’est à dire que votre chirurgien ne touche pas à l’intérieur de votre articulation.
De ce fait, vous allez probablement continuer à avoir les douleurs liées à l’arthrose après l’ostéotomie, parfois pendant plus d’un an, mais celles-ci vont diminuer progressivement puisque la pression sur le compartiment arthrosique est dorénavant diminuée.
Il convient donc en parallèle d’agir sérieusement et efficacement sur tous les autres facteurs prédisposants à l’arthrose: Excès de poids, activités et sports contraignants, soulèvement d’objets lourds, sédentarité etc..







